Invisalign®
Watch
Invisalign® & Invisalign® Teen
The clear alternative to braces
Invisalign takes a modern approach to straightening teeth. This nearly invisible option to straighten your teeth is truly changing the way people see orthodontic treatment. It uses a custom-made series of aligners created for you and only you. These aligner trays are made of smooth, comfortable, and virtually invisible plastic that you wear over your teeth. Wearing the aligners will gently move your teeth into place little by little, based on the exact movements Dr. Wood plans for you.
They’re removable, making it easier to eat, drink, brush and floss. Invisalign is much more comfortable than traditional braces and can provide stunning results.
While Invisalign is a great option for most patients, it doesn’t work in all situations. Book a free consultation with Dr. Wood to determine whether it’s the best option for you.
Braces vs. Invisalign®
With Invisalign treatment at Oread Orthodontics, there are no metal brackets to attach and no wires to tighten. You just pop in a new set of aligners about every two weeks, until your treatment is complete. You’ll get a great smile without a treatment that gets in the way of your daily life. The best part about the whole process is that most people won’t even know you’re straightening your teeth.
Braces
- Visible brackets and wires
- Wires can poke and irritate the mouth
- Brushing and flossing require more effort
- Many food restrictions
- Routine appointments necessary
Invisalign®
-
Invisalign clear aligners are virtually invisible
-
Smooth comfortable plastic aligners
-
Aligners are removable for easy cleaning
-
Eat whatever you want
-
Fewer appointments needed
-
Discreet treatment
Designed for both teens and adults, Invisalign® and Invisalign® Teen are excellent options for virtually invisible orthodontic care. Invisalign eliminates the need for uncomfortable brackets and wires allowing patients a discreet treatment option.
-
Shorter treatment times
Invisalign allows treatment on your terms which is ideal for your busy schedule with fewer doctor visits required. With the latest technological advances such as iTero® intraoral scanning, your smile can be transformed up to 50% faster than traditional braces.
-
Comfortable to wear
With Invisalign aligners, you don’t need to worry about the mouth irritation other teeth-straightening methods can cause. You can continue doing all the things you normally would, from brushing and flossing to eating your favorite foods.
-
Combine with other treatments
Combining the technology of Invisalign and Clarity Advanced clear braces can lead to great results with shorter and more comfortable treatment times.
The Invisalign process
At your initial consultation at Oread Orthodontics, we’ll take photos and X-rays to create a 3D image of your mouth. The iTero impressionless 3D scanner allows greater patient comfort with intricate detail and a quicker turnaround time. Visualize how your teeth may look after Invisalign treatment by seeing your estimated end result before you even begin. We make your first set of custom-fitted aligners from these images, and then you begin the process of straightening your teeth.
You’ll probably wear Invisalign aligners for 9–15 months, and will typically use 18–30 sets during your treatment. You wear the trays for about 22 hours a day but can remove them for brushing your teeth and eating. Based on your individual needs, and the treatment plan put in place by Dr. Wood, you’ll wear several sets of trays throughout your orthodontic treatment. You’ll start to notice a change in just a few months!
Schedule a free Invisalign consultation
It’s important to wear your aligners for at least 22 hours each day, as recommended by Dr. Wood so they can do their job and straighten your teeth. But, with Invisalign, you can remove your aligners for special occasions. Like with traditional braces, you’ll generally need to wear a retainer after Invisalign treatment to maintain your new alignment—and your confident new smile.
Dr. Wood has a lot of experience treating patients with Invisalign, and we’re excited to offer this technology to our Oread Orthodontics braces patients. Dr. Wood may not recommend Invisalign for some more complex alignment or bite issues, or for those who have bridgework; Dr. Wood can advise you about what options are best for you.
Schedule your free consultation with Dr. Wood at any of our Oread Orthodontics locations to learn if Invisalign is right for you.
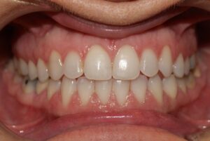
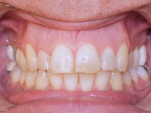
Invisalign before and after photos
See great results that real Invisalign® patients have achieved!


